Hjem » Kardiovaskulær patofysiologi » Infektiøs endokarditis

Infektiøs endokarditis

af Anders Kaack, d. 24. september 2024. Senest opdateret d. 8. september 2025

Det følgende handler om infektiøs endokarditis, en af medicinens store imitatorer:

  1. Definition af infektiøs endokarditis
  2. Risikofaktorer for infektiøs endokarditis
  3. Symptombilleder ved infektiøs endokarditis
  4. Diagnostiske kriterier for infektiøs endokarditis
  5. Patofysiologi ved infektiøs endokarditis

.

Har du gode artikler om specifikke konsekvenser af infektiøs endokarditis, fx septisk lungeemboli eller splinters, er du meget velkommen til at sende et link.

Definition af infektiøs endokarditis

Infektiøs endokarditis er en infektion af den endokardielle overflade i hjertet (Mylonakis & Calderwood, NEJM, 2001), og dertil lægger kardiologisk selskab og Cahill & Prendergast (Lancet, 2015) infektion i intrakardielle fremmedlegemer som for eksempel proteser, pacemakere eller ICD-elektroder.

Kardiologerne tillægger også endarteritis “i de store thorakale kar” og giver som eksempel coarctatio og persisterende ductus arteriosus, men ikke for eksempel de mest oplagte store thorakale kar, så jeg er lidt i tvivl om, hvad de egentlig refererer til. Hvorom altid er, er det i hvert fald rimelig klart, at infektiøs endokarditis hidrører endokardiet eller alt det iatrogene habengut, der kan samle sig omkring endokardiet.

Risikofaktorer for infektiøs endokarditis​

For lidelser med store diagnostiske delays, der er relativt sjældne, men desværre universelt fatale uden behandling, er det rart at kende nogle risikofaktorer. Nedenstående tabel er et portmanteau af tabel 8 i Delgado et al. (2023), der helt overordnet angiver risikofaktorer for infektiøs endokarditis, og Thornhill et al. (2017). Thornhill et al. kvantificerer risikoen for infektiøs endokarditis hos patienter med forudgående kardiel sygdom i England. Der er ikke helt overlap imellem deres kategorier, men jeg gør en tillempet forsøg på at lave det overlap herunder. Når jeg ikke har skrevet noget, er det enten fordi det ikke fremgår af Thornhill, eller fordi det ikke helt giver mening at tillempe. Jeg har fundet en lignende dansk artikel, men den er bag pay-wall hos Elsevier.
Kardielle risikofaktor Incidensrate pr. år/100.000 OR til den engelske baggrundsbefolkning
Tidligere infektiøs endokarditis 1436 265 (to hundrede og fem og tres)
Klapsygdom 273 (non-reumatisk klapsygdom) 41
Klapprotese 464 70
Kardiel implantationsdevice 68 10
Medfødt hjertesygdom 72-312 (afhængig af tilstand) 18-86
Non-kardielle risikofaktorer
Intravenøs stofmisbrug
Centrale vene/arterie katetre
Immunsupression
Nylig hospitalisering eller (tand)kirurgisk indgreb
Hæmodialyse

Symptombilleder ved endokarditis

Kardiologisk selskab lister flere forskellige symptomer og kliniske fund, som de kalder kardinalfund. Der findes et europæisk infektiøs endokarditis register (EURO-ENDO), der kvantificerer symptomer og fund afhængigt af, om der er tale om native klapper, prostetiske klapper eller implantationsdevices. Tallene er publiceret i Habib et al. (2019), og er delvist gengivet herunder.

Helt overordnet er der to kliniske præsentationsformer ved infektiøs endokarditis: 1) Den langsomme, subakutte præsentation med symptomer på kronisk infektion og 2) den hurtigt udviklende, akutte præsentation med risiko for shock (kardiogent og/eller septisk).

  • Feber, træthed og vægttab
    • Kroniske og uspecifikke symptomer. Ved feber obs causa må man overveje infektiøs endokarditis. Debutten kan også være med en anden primær eller sekundær infektion.
  • Hjerteinsufficiens
    • Optræder ved klapdestruktion. Kan præsentere sig som kardiogent shock (2,3 %).
  • Hjertemislyd
    • Forekommer hos 65 % af patienter, mellem 65-71 % af patienter med klapinfektion har mislyd, men kun 32 % af patienter med pacemaker eller ICD har det.
  • Langt hovedparten af patienter har bakteriæmi: 7 % præsenterer sig med septisk shock.
  • Sekundære bakteriæmiske, inflammatoriske eller emboliske fænomener.
    • Der er et utal af måder, en stor bakterie-fibrin-klump der ligger og vipper på  hjerteklapperne kan give problemer på.
    • 12 % af patienter har abscesser.
    • 5 % af spondylitis
    • 25 % har emboliske events (cerebralt er det hyppigst med 44 %), herefter pulmonalt (25 %), milten (22 %) og perifert (12 %).
    • Kan også præsentere sig med artrit, nefrit og vaskulit.
  • Hudlæsioner
    • Infektiøs endokarditis kan præsentere sig i huden.
    • Osler knuder (billede her)
    • Janeway-læsioner (billede her)
    • Splinters er små blødninger i neglelejet. Schwiebert et al. (2022), som kun er tilgængelig via abstract, undersøger den diagnostiske værdi (med Duke-kriterierne som gold standard) af splinters hos patienter med klinisk mistanke til endokarditis: Hos 451 patienter med endokardit havde 119 splinters, mens 332 ikke havde. Hos 486 patienter uden endokardit var 83, der havde splinters, mens 403 ikke havde. Det giver en sensitivitet på 26 % og en specificitet på 83 %. Har du en prævalens i din population på 10 % giver det en PPV på 14,5 % og en NPV på 91 % – med andre ord, er der ikke splinters hos en patient i en population med < 10 % prævalens, har man faktisk en udmærket negativ prædiktiv værdi.

Diagnostiske kriterier for infektiøs endokarditis

Det fører for vidt at redegøre for alle de diagnostiske kriterier for infektiøs endokarditis her. Den interesserede kan finde afsnit 5.5 i ESC’s guideline, der ganske pænt præsenterer de modificerede Duke kriterier. De dækker helt grundlæggende over:

  1. Bloddyrkninger med endokarditsuspekt mikrobiologi
  2. Billeder forenelig med endokarditis

.

Det er de to hovedkriterier, og når de er opfyldt, så har man diagnosen. Kombinationer af hovedkriterierne med bikriterier eller rigtig mange bikriterier kan også sikre diagnosen eller opretholde mistanke om diagnose. Så de mindre kriterier handler grundlæggende om:

  1. (Stærke) risikofaktorer
  2. Feber
  3. Emboliske fænomener (fx lungeemboli, infarkt, abscesser, spondylodiscitis, konjunktivale blødninger eller Janeway-læsioner)
  4. Immunologiske fænomener (glomerulonefris, rheumafaktor)
  5. Mikrobiologi eller serologi der peger i retning af endokarditis, men ikke opfylder hovedkriterie 1’s udspecificering).

Patofysiologi ved endokarditis

Holland et al. (2016) side 2-7 er go to for et hurtigt overblik, og det følgende bygger på dem:

En forudsætning for endokarditis er en eller anden form for endothelforandring i endokardiet; overfladen af fx klapperne skal være beskadiget af fx manipulation fra fremmedlegemer, turbulent flow eller autoimmun skade. Det giver muligheden for dannelse af et fibrin-clot over et underliggende intersticielt ødem.

Når du børster tænder, så kan du ikke undgå at børste bakterier ind i blodbanen, og selv det bare at tygge maden giver små slimhindeskader, som karius og baktus kan finde ind i blodet igennem. Nu skriver Thorbjørn Egner ikke om endokarditis, men karies, og det skyldes, at to bakterier ikke er nok til at give endokarditis, og det er formentlig <1000 koloniformende enheder heller ikke. Til gengæld er det formentlig et problem, når man når over 10.000 CFU.

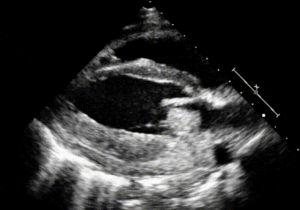
Når bakterierne først er i blodbanen, kan de adhærere til fibrin-clottet og i en ond cirkel af bakterievækst og fibrinaflejringer danne de vegetationer, man kan se for sig. Her er et eksempel på en vegetation på atriesiden af mitralklappen. Den store tumormasse, der nærmest blokerer indløbet til venstre ventrikel er en stor klump af bakterier og fibrin.

Ekkokardiografisk billede af endokarditis-vegetation på atriesiden af mitralklappen. Fra Rocust & Riveros, showmethepocus.com/pulmonary-embolism-endocarditis-masses, CC BY-NC 4.0.

Nu er vegetationen til stede, og så begynder problemerne for alvor for patienten:

  1. Når først vegetationen er til stede, stimuleres immunsystemet med resulterende cirkulation af immunkomplekser. Halvdelen af patienterne bliver rheumafaktor-positive. Immunkomplekserne (fra rheumafaktor) er årsagen til endokarditis-associeret glomerulonefritis og er formentlig årsag til Osler-knuder og retinale blødninger.
  2. Dele af vegetationerne kan rive sig fra som septiske embolier, og det kan give to problemer:
    • Septiske embolier kan fungere som regelrette arterielle embolier, der når et kar, stopper det til og give iskæmi distalt for tilstopningen.
    • Septiske embolier indeholder bakterier, der kan disseminerer til principielt alle steder i kroppen og give anledning til abscesdannelse perifert.
  3. De tre fænomener: Immunkompleksaflejring, embolisering og abscesdannelse er de primære patofysiologiske mekanismer, der giver organspecifikke manifestationer.
  4. Hjertet. Den lokale infektion kan give perforation af kritiske strukturer i hjertet, helt oplagt fx klapperne. En emboli kan give myokardieinfarkt.
  5. Lungerne. Problemet for lungerne afhænger af, hvilken halvdel af endokardiet, der er afficeret. Højresidig endokarditis (fx tricuspidalendokardit hos en iv-misbruger) kan give septiske lungeembolier med risiko for infarkt, pneumoni, effusioner og empyem.
  6. Nyrerne. Der er flere muligheder for nyrepåvirkning: Infarkt (septisk emboli), absces (septisk emboli) eller aflejringer af immunkomplekser.
  7. Neurovaskulært. Endokarditis kan give aneurismer, men det primært problem er stroke som følge af embolisering: 20-30 % af patienter med infektiøs endokarditis vil have klinisk stroke; formentlig vil flertallet have MR-forandringer.
  8. Milten. Det er ikke ualmindeligt med miltinfarkt eller abscedering.
  9. Huden og øjnene. Osler-knuder, Janeway-læsioner, splinters, petekkier, Roth spots og endopthalmitis er alle muligheder.

Kilder

Holland TL, Baddour LM, Bayer AS, Hoen B, Miro JM, Fowler VG Jr. Infective endocarditis. Nat Rev Dis Primers. 2016 Sep 1;2:16059. doi: 10.1038/nrdp.2016.59. PMID: 27582414; PMCID: PMC5240923.

Delgado V, Ajmone Marsan N, de Waha S, Bonaros N, Brida M, Burri H, Caselli S, Doenst T, Ederhy S, Erba PA, Foldager D, Fosbøl EL, Kovac J, Mestres CA, Miller OI, Miro JM, Pazdernik M, Pizzi MN, Quintana E, Rasmussen TB, Ristić AD, Rodés-Cabau J, Sionis A, Zühlke LJ, Borger MA; ESC Scientific Document Group. 2023 ESC Guidelines for the management of endocarditis. Eur Heart J. 2023 Oct 14;44(39):3948-4042. doi: 10.1093/eurheartj/ehad193. Erratum in: Eur Heart J. 2023 Dec 1;44(45):4780. doi: 10.1093/eurheartj/ehad625. Erratum in: Eur Heart J. 2024 Jan 1;45(1):56. doi: 10.1093/eurheartj/ehad776. PMID: 37622656.

Thornhill MH, Jones S, Prendergast B, Baddour LM, Chambers JB, Lockhart PB, Dayer MJ. Quantifying infective endocarditis risk in patients with predisposing cardiac conditions. Eur Heart J. 2018 Feb 14;39(7):586-595. doi: 10.1093/eurheartj/ehx655. PMID: 29161405; PMCID: PMC6927904.

Habib G, Erba PA, Iung B, Donal E, Cosyns B, Laroche C, Popescu BA, Prendergast B, Tornos P, Sadeghpour A, Oliver L, Vaskelyte JJ, Sow R, Axler O, Maggioni AP, Lancellotti P; EURO-ENDO Investigators. Clinical presentation, aetiology and outcome of infective endocarditis. Results of the ESC-EORP EURO-ENDO (European infective endocarditis) registry: a prospective cohort study. Eur Heart J. 2019 Oct 14;40(39):3222-3232. doi: 10.1093/eurheartj/ehz620. Erratum in: Eur Heart J. 2020 Jun 7;41(22):2091. doi: 10.1093/eurheartj/ehz803. PMID: 31504413.

Montané B, Chahine J, Fiore A, Alzubi J, Alnajjar H, Mutti J, Grimm RA, Griffin BP, Xu B. Diagnostic performance of contemporary transesophageal echocardiography with modern imaging for infective endocarditis. Cardiovasc Diagn Ther. 2023 Feb 28;13(1):25-37. doi: 10.21037/cdt-22-431. Epub 2023 Feb 1. PMID: 36864958; PMCID: PMC9971297. Diagnostisk performance af TTE og TEE

Schwiebert R, Baig W, Wu J, Sandoe JAT. Diagnostic accuracy of splinter haemorrhages in patients referred for suspected infective endocarditis. Heart. 2022 Jul 16:heartjnl-2022-321052. doi: 10.1136/heartjnl-2022-321052. Epub ahead of print. PMID: 35842232. Diagnostisk performance af splinters.