Hjem » Infektionernes patofysiologi » Akut bakteriel meningitis

Akut bakteriel meningitis

af Anders Kaack, d. 6. september 2024. Senest opdateret d. 8. september 2025

Det kan også være, at du er kommet her via neurologisk patofysiologi, og her er vejen tilbage dertil.

Indholdet i det følgende er:

  1. Symptomer ved akut bakteriel meningitis
  2. Patofysiologi ved bakteriel meningitis
  3. Forhøjet intrakranielt tryk ved bakteriel meningitis
  4. Forhøjet ICP, lumbalpunktur og CT-C
  5. Patogener i Danmark ved bakteriel meningitis

Symptomer ved akut bakteriel meningitis

Selv en yngre læge der selv lider af meningitis, vil formentlig kunne svare på, hvad den klassiske triade af meningitis-symptomer er, og som hurtigt skal foranledige lumbalpunktur og empiriske iv-antibiotika. Feber, nakkerygstivhed og bevidsthedspåvirkning. Sensitiviteten af den triade er imidlertid dårlig, og hvis man kun behandlede triadepatienter, vil man misse omtrent 50 % af alle med meningitis.

van de Beek et al. (2016) er det europæiske selskab for klinisk mikrobiologi og infektionsmedicins guideline til diagnostik og behandling af akut bakteriel meningitis, og de har en fin tabel 1, der opsummerer (nogle af) fundene ved bakteriel meningitis baseret på fem europæiske studier, herunder ét dansk studie. Her min sammenfatning af tabellen:

SymptomerForekomst
Hovedpine58 – 87 %
Kvalme og opkastning45- 74 %
FundForekomst
Feber > 38,0 grader77 – 97 %
Nakkerygstivhed65 – 83 %
Udslæt20 – 52 %
Fokalneurologiske udfald15 – 34 %
Ændret mentaltilstand30 – 69 %
Koma7 – 16 %
Den klassiske triadeForekomst
Feber, nakkerygstivhed og bevidsthedspåvirkning41-51 %

Durand et al. (1994) er et amerikansk studie, retrospektivt single-center, der evaluerede 445 patienter med 493 episoder af akut bakteriel meningitis, heraf 259 patienter og 279 episoder af community-acquired meningitis. Af dem præsenterede (kun) 2/3 sig med den klassiske triade, men alle patienter havde mindst ét karakteristika fra triaden. 95 % af patienter havde feber over 37,7; 88 % var nakkerygstive (og bemærkelsesværdigt var ældre patienter ikke signifikant mindre nakkerygstive), 30 patienter (11 %) havde udslæt, og 22 af dem havde meningokokmeningitis. 22 % var vågne, 51 % forvirrede eller letargiske, 22 % smerteresponsive og 6 % ikke-responsive til noget stimuli. 7 % havde fokale kramper, 13 % generaliserede; 28 % havde fokalneurologiske udfald og 13 % havde hemiparese. Tegn til papilødem blev kun fundet i 12 tilfælde, og 3 af de 12 havde høje tryk ved lumbalpunktur.

Patofysiologi ved bakteriel meningitis

Der er to mulige indgangsporte for bakterier ind i subarachnoidalrummet: Blodbårent og direkte invasion gennem for eksempel paranasale sinus eller mastoidet. Formentlig er hæmatogen spredning hyppigst. Der er flere forskellige foreslåede mekanismer til, hvordan fx S. pneumoniae og N. meningitidis kan overleve i blodet, og hvordan de kan penetrere til subarachnoidalrummet – det sidste formentlig primært i postkapillære venoler og vener.

Når bakterierne er inde i subarachnoidalrummet er der, relativt til de perifere væv, frit slag til at gå grassat: Det innate immunsystem i subarachnoidea er simpelthen dårligere end udenfor: Komplementsystemet kan ikke passere blod-hjerne-barrieren. I takt med at bakterievæksten overstiger næringsstofferne, dør patogenerne, og det registreres af Toll- og NOD-like receptors i makrofager, dendritiske celler og mastceller i vævet omkring CSF. Det aktiverer inflammatoriske transkriptionsfaktorer via NF-κB, sådan at der rekrutteres store mængder neutrofile granulocytter til de inficerede områder. De neutrofile leverer store mængder cytotoksiske produkter, og så har man balladen.

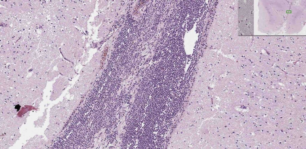
Jeg er ikke patolog, men jeg tror, at man her ser et HE-farvet snit af cortex hos 81-årig kvinde med meningitis. Man kigger ned i sulcus, og ser at den er fuldstændigt udtamponeret af polymorfnukleære celler. Bragt med tilladelse fra University of Leeds og https://www.virtualpathology.leeds.ac.uk/

Kigger man på obducerede hjerner efter bakteriel meningitis, så finder man ødem, hydrocephalus, petekielle blødninger, nekrotiske læsioner i cortex og subcortikalt, tabte myelinfibre i den hvide substans og hippocampas apoptose. Post-mortem-studier efter pneumokokmeningitis har primært fundet bakterier i subarachnoidea og i vaskulaturet, hvilket taler for, at hjerneskaden ved meningitis primært er medieret af vaskulitis, vasospasmer, cerebral hypoperfusion, iskæmi og infarkt (van de Beek, 2016).

Forhøjet intrakranielt tryk ved meningitis

Hvas et al. (2023) fra Ugeskriftet er en rigtig fed artikel, der beskriver patofysiologien ved forhøjet intrakranielt tryk ved bakteriel meningitis. Som det fremgår af ovenstående, og som man husker fra et inflammations af fire kernesymptomer, tumor, så er infektion i meninges forbundet med inflammation og inflammation er forbundet med ødem. Inflammation giver et vasogent cerebralt ødem, fordi permeabiliteten af blod-hjerne-barrieren øges, et cytotoksisk ødem fordi cellerne ophober væske, et intersticielt ødem og hydrocephalus fordi cerebrospinalvæskeabsorptionen falder. Samtidig er meningitis ofte forbundet med hyponatriæmi, og lavt plasmanatrium giver osmotisk væsketryk i retning af cellerne, som derfor svulmer op. Inde i kraniekassen findes der alt det intracerebrale væv, blod og cerebrospinalvæske, og der er ingen muligheder for at udvide kassens volumen. Det vil sige, at stiger blodtilførslen som følge af inflammation, så må volumen af CSF og intracerebrale væv blive mindre for at fastholde normalt intrakranielt tryk. Når de kompensatoriske kapaciteter er opbrugt, så stiger trykket abrupt ved tilførsel af mere væske.

Hvorfor er forhøjet intrakranielt tryk et problem? Det er det selvfølgelig fordi det er en almindelig årsag til død ved meningitis, og det er det også, fordi det er forbundet med risiko for herniering. Her er en illustration fra wikipedia af de forskellige måder hjernen kan herniere på, hvis man har brug for at blive mindet om det

RupertMillard, CC BY-SA 3.0, via Wikimedia Commons

I Durand et al. (1994) var der 40 patienter, der døde af meningitis indenfor 7 dage af diagnosen, og 27 af disse havde obduktionsrapporter, og 8 af disse havde tegn til herniering, alle med temporallapsherniering og cerebralt ødem, fire med cerebellar herniering.

Hvas et al. (2023) foreslår, at alle patienter, der er bevidsthedspåvirkede og har meningitis må mistænkes for at have forhøjet intrakranielt tryk, og infektionsmedicinernes meningitis-guideline peger også på, at en væsentlig del af meningitissymptomatologien skyldes forhøjet intrakranielt tryk.

Forhøjet ICP, CT-C og lumbalpunktur ved meningitis

Spørgsmålet om forhøjet intrakranielt tryk bliver pertinent, når man samtidig skal tage lumbalpunktur, og man konstant bliver tudet ørerne fulde med, at lumbalpunktur ved forhøjet intrakranielt tryk er risikabelt på grund af risiko for inkarceration. Det følgende er mit forsøg på at opsummere noget af en meget omfattende diskussion om forhøjet intrakranielt tryk, hvornår man skal mistænke det og om CT-C før lumbalpunktur er indiceret. Det er også en diskussion, der formentlig har givet udslag i lokale retningslinjer. Det betyder også, at jeg må minde om, at patofysiologi.dk ikke er et peer-reviewed tidsskrift, og at jeg slet ikke er den infektionsmediciner, du skal støtte dine kliniske beslutninger efter.

Potentielle problemer med lumbalpunktur ved forhøjet ICP

Her fra litteraturen et udvalg af formuleringer, der kunne gøre enhver kliniker bekymret for at lave lumbalpunktur:

Inkarceration gennem foramen magnum kan indtræde såvel under udtømning samt op til 12 timer efter proceduren, hvis store volumina af spinalvæske er sivet ud hos en patient med forhøjet intrakranialt tryk. (Lægehåndbogen om lumbalpunktur)

LP er kontraindiceret ved […], forhøjet intrakranialt tryk (specielt når dette er forårsaget af ekspansive processer i fossa posterior). (Shorsh & Binzer i Ugeskriftet, 2006)

However, the physician first needs to verify whether the lumbar puncture is safe for the patient. A space-occupying intracranial lesion or diffuse brain oedema, which both cause a substantial brain shift, results in an increased risk of cerebral herniation when a lumbar puncture is performed. (van de Beek, Nature Reviews Disease Primers 2016)

A CT scan is indicated before the performance of a lumbar puncture in patients with suspected meningitis and sign of increased intracranial pressure […] (Durand et al., NEJM, 1994)

Så hvad er bekymringen egentlig? Man vil altid, når man stikker ind nål ind i spinalkanalen, skabe en trykgradient fra det normale tryk i CSF (normalt højst 20 cm vand) til det omgivende atmosfæriske tryk. Det er selvfølgelig det, der gør, at væsken drypper ud. Når CSF kan flyde frit, er det principielt ikke noget problem, fordi man jo har en uhindret væskebevægelse. Hvis man teoretisk forestiller sig, at CSF’s flow var obstrueret, fx fra supratentorielt og ned i durasækken omkring medulla oblongata, så var situationen en anden. I det tilfælde vil man have ét tryk på oversiden af obstruktionen og et andet og nu pludseligt lavere tryk på undersiden af obstruktionen. Det giver en trykgradient, der kan herniere temporallapperne igennem tentoriet. Og i akut bakteriel meningitis er trykket formentlig højere end i den raske patient, hvorfor hernieringsrisikoen teoretisk set er højere. Situationen er den samme, hvis man forestiller sig at CSF’s flow var obstrueret på niveau med de cerebellare tonsiller, her er det blot cerebellum, der bliver trykket igennem foramen magnum.

Der er flere forskellige muligheder for at danne sådan en obstruktion: En tumor, en absces, en stor blodansamling og cerebralt ødem. Archer (1993) refererer to artikler, der beskriver herniering efter lumbalpunktur:

  • Korein et al. (1959), der fandt klinisk forværring i forlængelse af lumbalpunktur på 6 % af en kohorte af patienter med enten papilødem eller forhøjet intrakranielt tryk (jeg tror ikke, at de havde meningitis, men artiklen er pay-walled, så hvem ved…).
  • Duffy (1969) er en caseserie på 30 patienter, hvoraf et mindre antal blev lumbalpunkteret på indikationen meningitis, og hvor 22 havde fokalneurologiske udfald. 15 patienter blev klinisk dårligere i forlængelse af lumbal, og 3 patienter havde vejrtrækningsstop enten under lumbalpunkturen eller umiddelbart efter nålen blev trukket ud. Alle (para)klinikeres mareridt! At en patient dør som følge af en diagnostisk procedure.

Argumenter imod at bekymre sig for forhøjet ICP ved lumbalpunktur

Archer, der refererer Korein et al. og Duffy er imidlertid meget skeptisk overfor, at man skal være bekymret. Hans indvending er, at når man kigger på patienter med meningitis, er risikoen meget lav: “Most studies have reported complication rates similar to or lower than that of Korein, Cravioto and Leicach: between 0 % and 5 % in patients with documented papilledema of any cause (unpublished da- ta). This rate is amazingly low and leads one to re-evaluate the disproportionate anxiety currently surrounding lumbar puncture.

Archer, der publicerer i 1993, har endda et addendum efter Durand et al. publicerede deres advarsel i 1994, den advarsel som jeg har gengivet ovenfor: This [Durands advarsel] again inappropriately emphasizes elevated intracranial pressure, which is a typical feature of meningitis”.

Problemet er selvfølgelig at en del af symptomatologien og patofysiologien bag meningitis netop skyldes forhøjet intrakranielt tryk.

Det europæiske infektionsmedicinske selskab har selvfølgelig også undersøgt det i deres practice guidelines, og finder 19 publicerede artikler med i alt 74 patienter, der i umiddelbar forlængelse af lumbalpunktur blev klinisk dårligere. De bemærker imidlertid også, at kausalsammenhængen er meget svær at fastsætte, netop fordi bakteriel meningitis i sig selv indebærer en risiko for herniering. De foreslår derfor, at CT før lumbalpunktur reserveres til patienter med fokalneurologiske udfald (der ikke er kranienervepareser), nyligt indsættende kramper, alvorlig immunkompromitering (fx HIV-patienter eller organtransplanterede) eller alvorligt påvirket mentalstatus (sv.t. GCS < 10).

De danske infektionsmedicinere lægger sig lidt op ad dette og skriver, at lumbalpunktur skal udsættes ved tegn på truende inkarceration eller rumopfyldende proces. 

For hvis det patofysiologiske problem ved meningitis (blandt andet) er forhøjet intrakranielt tryk, så er konsekvensen selvsagt, at alle patienter skal CT-skannes før lumbalpunktur. For mange af symptomerne på meningitis kan (delvist) tilskrives (mistanke om) forhøjet intrakranielt tryk: Hovedpine, kvalme, opkastninger og påvirket mentalstatus. Og det er ikke tilfredsstillende at alle patienter skal CT-skannes, specielt fordi det også er forbundet med et delay i iværksættelse af den antibiotiske behandling der både redder liv og førlighed.

Værdi af CT-C før lumbalpunktur ved meningitis

Ét spørgsmål er, om der er en væsentlig hernieringsrisiko ved forhøjet intrakranielt tryk ved meningitis, noget andet er, hvordan man afklarer den risiko. Tidligere oftalmoskoperede man papillen for at afklare, om der var papilødem. Det er en dårlig undersøgelse (se fx Møller & Skinhø, 2006). Det er spørgsmålet, om CT-C er meget bedre, eller om man kan komme ligeså langt med en almindelig neurologisk undersøgelse. Jeg vil gerne vende tilbage til spørgsmålet, og det primært med udgangspunkt i Hasbun, 2001, der netop undersøgte værdien i CT af cerebrum forud for lumbalpunktur ved mistanke om meningitis. Jeg vil indtil da nøjes med at citere fra abstractet: “In adults with suspected meningitis, clinical features can be used to identify those who are unlikely to have abnormal findings on CT of the head.”

Patogener i Danmark

SSI opgjorde senest i 2021 årsagerne til purulent meningitis i Danmark (Epi-Nyt uge 18/19, 2022), og de illustrerede deres opgørelse med denne fine figur.

Fra SSI's overvågningsrapport 2021 (den seneste) af patogener, der forårsager meningitis i Danmark de foregående 20 år.

I 2001 var der 275 tilfælde af meningitis med meningokokmeningitis og pneumokokmeningitis som hovedårsager med hver godt 110 tilfælde. Incidensen er faldet drastisk siden da til omtrent 100 tilfælde pr. år i 2021. Husk covid-19 i 2020! Meningokokker er nærmest udryddet fra det mikrobiologiske billede.

Kilder

Durand ML, Calderwood SB, Weber DJ, Miller SI, Southwick FS, Caviness VS Jr, Swartz MN. Acute bacterial meningitis in adults. A review of 493 episodes. N Engl J Med. 1993 Jan 7;328(1):21-8. doi: 10.1056/NEJM199301073280104. PMID: 8416268.

van de Beek D, de Gans J, Spanjaard L, Weisfelt M, Reitsma JB, Vermeulen M. Clinical features and prognostic factors in adults with bacterial meningitis. N Engl J Med. 2004 Oct 28;351(18):1849-59. doi: 10.1056/NEJMoa040845. Erratum in: N Engl J Med. 2005 Mar 3;352(9):950. PMID: 15509818.

van de Beek D, Brouwer M, Hasbun R, Koedel U, Whitney CG, Wijdicks E. Community-acquired bacterial meningitis. Nat Rev Dis Primers. 2016 Nov 3;2:16074. doi: 10.1038/nrdp.2016.74. PMID: 27808261.

Lebech AM et al. Rekommandationer for initial behandling af akut bakteriel meningitis hos voksne. På infmed.dk. Tilgået d. 5/9-2024

Hvas CL et al. Forhøjet intrakranielt tryk ved akut bakteriel meningitis. Ugeskriftet.dk, tilgået d. 5/9-2024

van de Beek D, Cabellos C, Dzupova O, Esposito S, Klein M, Kloek AT, Leib SL, Mourvillier B, Ostergaard C, Pagliano P, Pfister HW, Read RC, Sipahi OR, Brouwer MC; ESCMID Study Group for Infections of the Brain (ESGIB). ESCMID guideline: diagnosis and treatment of acute bacterial meningitis. Clin Microbiol Infect. 2016 May;22 Suppl 3:S37-62. doi: 10.1016/j.cmi.2016.01.007. Epub 2016 Apr 7. PMID: 27062097.

Archer BD. Computed tomography before lumbar puncture in acute meningitis: a review of the risks and benefits. CMAJ. 1993 Mar 15;148(6):961-5. PMID: 8448711; PMCID: PMC1490723.

KOREIN J, CRAVIOTO H, LEICACH M. Reevaluation of lumbar puncture; a study of 129 patients with papilledema or intracranial hypertension. Neurology. 1959 Apr;9(4):290-7. doi: 10.1212/wnl.9.4.290. PMID: 13644562.

Hasbun R, Abrahams J, Jekel J, Quagliarello VJ. Computed tomography of the head before lumbar puncture in adults with suspected meningitis. N Engl J Med. 2001 Dec 13;345(24):1727-33. doi: 10.1056/NEJMoa010399. PMID: 11742046.

Shorsh K, Binzer MN. Lumbalpunktur. Ugeskr Læger 2005;167:4285-6.

Møller K & Skinhø P. Lumbalpunktur 1. Ugeskr Læger 6. feb. 2006.